歯周病組織再生療法・インプラント・セラミック治療の症例紹介
- 投稿日2026年01月28日
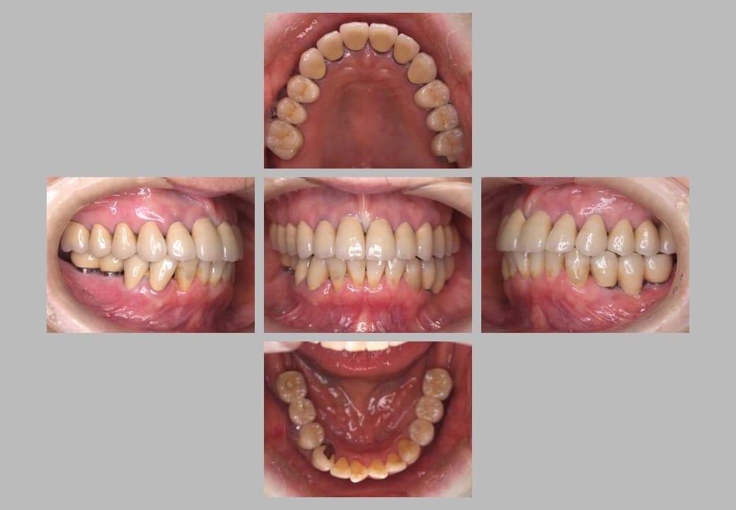
治療希望:他院で義歯を作ったが噛みにくい。バネを掛けている左下の銀歯が何度も取れる しっかり噛めるようになりたい。
治療内容:再生療法+インプラント+セラミック治療
治療期間:約1年半
再生療法+インプラント+セラミック治療の実施事例です。
カテゴリ:治療例
治療希望:他院で義歯を作ったが噛みにくい。バネを掛けている左下の銀歯が何度も取れる しっかり噛めるようになりたい。
治療内容:再生療法+インプラント+セラミック治療
治療期間:約1年半
再生療法+インプラント+セラミック治療の実施事例です。