HOME
HOME
GREETING
ご挨拶
GREETING
ご挨拶
CLINIC
院内のご案内
CLINIC
院内のご案内
SERVICE
診療内容
SERVICE
診療内容
CASE
治療事例
CASE
治療事例
VOICE
患者様の声
VOICE
患者様の声
NEWS
お知らせ
NEWS
お知らせ
FAQ
よくある質問
FAQ
よくある質問
ACCESS
アクセス
ACCESS
アクセス
CONTACT
お問い合わせ
CONTACT
お問い合わせ
RECRUIT
採用情報
RECRUIT
採用情報
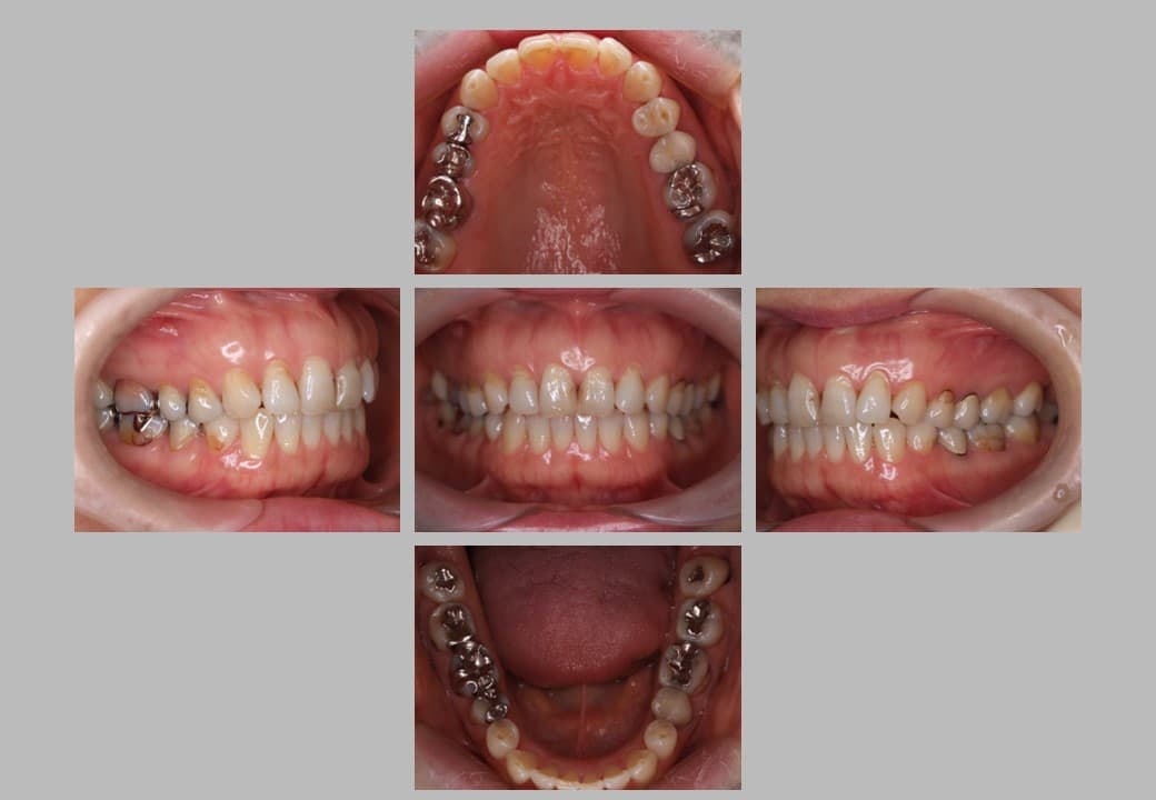
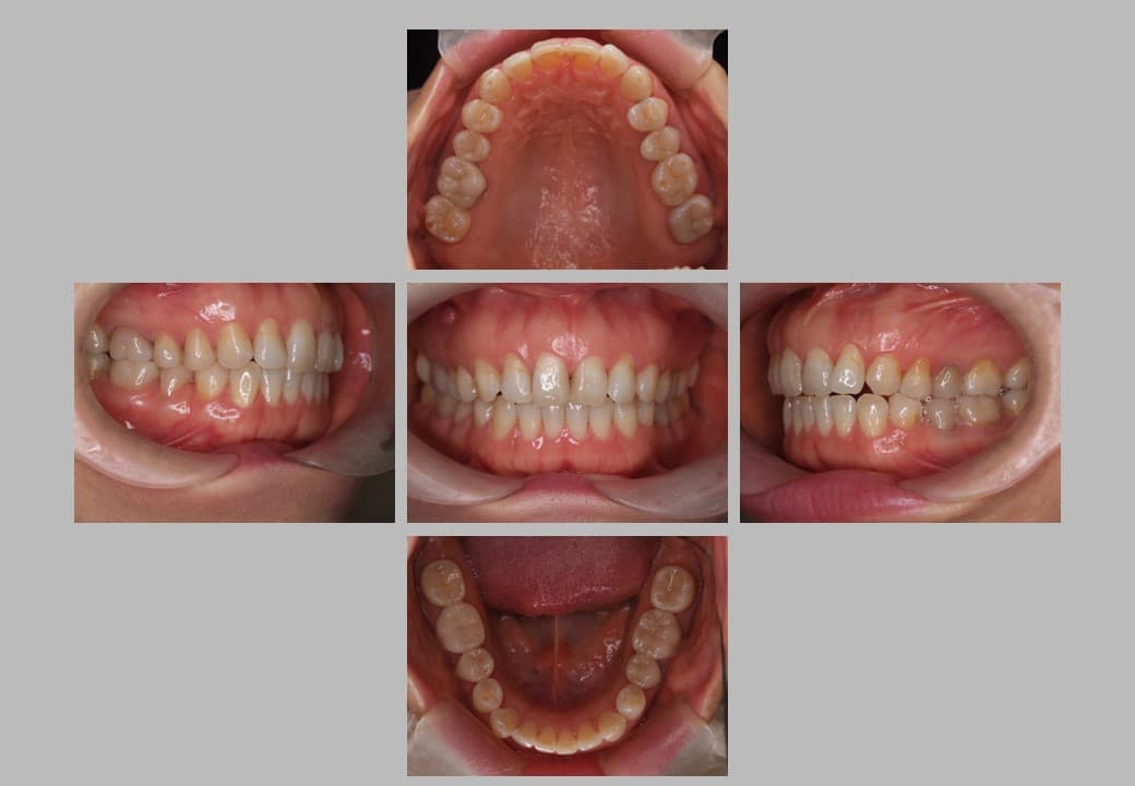
セラミック治療 (メタルフリー治療)の症例紹介①
投稿日
2026年01月28日
治療希望:金属の詰め物が取れたセラミックの治療希望
治療内容:根管治療+セラミック治療
治療期間:約6ヶ月
治療前
治療後
根管治療+セラミック治療の実施事例です。
カテゴリ:
治療例
Next
Prev
最近の投稿
セラミック治療 (メタルフリー治療)の症例紹介②
セラミック治療 (メタルフリー治療)の症例紹介①
金属床コーヌス義歯(部分入れ歯)の症例紹介
インプラント治療・セラミック治療・金属床コーヌス義歯(部分入れ歯)の症例紹介
矯正治療・インプラント治療・セラミック治療・金属床(部分入れ歯)の症例紹介
カテゴリー
お知らせ (203)
コラム (12)
ブログ (339)
治療例 (12)
アーカイブ
アーカイブ
月を選択
2026年1月 (14)
2025年12月 (2)
2025年11月 (1)
2025年10月 (2)
2025年9月 (2)
2025年8月 (3)
2025年7月 (1)
2025年6月 (3)
2025年5月 (3)
2025年4月 (2)
2025年3月 (4)
2025年2月 (3)
2025年1月 (3)
2024年12月 (4)
2024年11月 (3)
2024年10月 (2)
2024年9月 (4)
2024年8月 (3)
2024年7月 (2)
2024年4月 (2)
2024年3月 (3)
2024年2月 (2)
2024年1月 (2)
2023年12月 (1)
2023年11月 (2)
2023年10月 (3)
2023年9月 (3)
2023年8月 (3)
2023年7月 (4)
2023年6月 (2)
2023年5月 (5)
2023年4月 (3)
2023年3月 (2)
2023年2月 (2)
2023年1月 (3)
2022年12月 (4)
2022年11月 (5)
2022年10月 (3)
2022年9月 (3)
2022年8月 (3)
2022年7月 (4)
2022年6月 (4)
2022年5月 (5)
2022年4月 (4)
2022年3月 (4)
2022年2月 (4)
2022年1月 (4)
2021年12月 (5)
2021年11月 (5)
2021年10月 (4)
2021年9月 (5)
2021年8月 (4)
2021年7月 (4)
2021年6月 (4)
2021年5月 (5)
2021年4月 (4)
2021年3月 (5)
2021年2月 (3)
2021年1月 (5)
2020年12月 (5)
2020年11月 (4)
2020年10月 (4)
2020年9月 (4)
2020年8月 (5)
2020年7月 (4)
2020年6月 (5)
2020年5月 (4)
2020年4月 (4)
2020年3月 (4)
2020年2月 (4)
2020年1月 (3)
2019年12月 (4)
2019年11月 (4)
2019年10月 (4)
2019年9月 (5)
2019年8月 (4)
2019年7月 (5)
2019年6月 (4)
2019年5月 (4)
2019年4月 (5)
2019年3月 (4)
2019年2月 (4)
2019年1月 (5)
2018年12月 (5)
2018年11月 (4)
2018年10月 (4)
2018年9月 (5)
2018年8月 (5)
2018年7月 (3)
2018年6月 (4)
2018年5月 (4)
2018年4月 (5)
2018年3月 (4)
2018年2月 (3)
2018年1月 (6)
2017年12月 (3)
2017年11月 (5)
2017年10月 (5)
2017年9月 (3)
2017年8月 (4)
2017年7月 (3)
2017年6月 (4)
2017年5月 (3)
2017年4月 (5)
2017年3月 (4)
2017年2月 (4)
2017年1月 (4)
2016年12月 (4)
2016年11月 (4)
2016年10月 (4)
2016年9月 (5)
2016年8月 (5)
2016年7月 (5)
2016年6月 (5)
2016年5月 (10)
トップページ
ご挨拶
医院のご案内
診療内容
虫歯・一般歯科
義歯
ホワイトニング
小児歯科
歯周病治療
口腔外科
矯正歯科
予防歯科
デンタルエステ
インプラント
審美歯科
MDC会員
治療例
患者様の声
BLOG
よくある質問
アクセス
採用情報
お問い合わせ
MENU