外科矯正治療・インプラント治療の症例紹介

  • 投稿日2026年01月28日
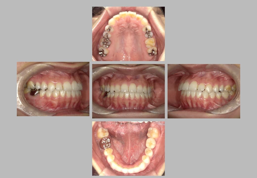
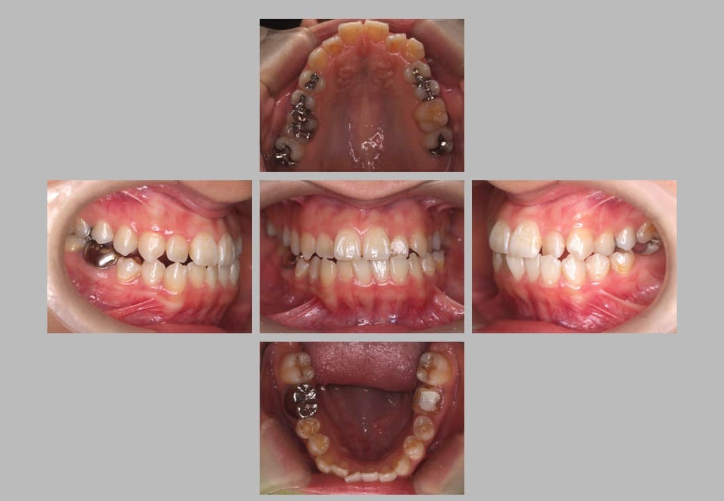
  • 治療希望:矯正治療希望治療途中の歯もあるので治したい。左顎関節が痛い。

  • 治療内容:外科矯正治療+インプラント治療

  • 治療期間:約3年(矯正治療期間 約2年半)

  • 治療前

  • 治療後

外科矯正治療+インプラント治療の実施事例です。

カテゴリ:治療例