矯正治療・インプラント治療・セラミック治療の症例紹介

  • 投稿日2026年01月28日
  • 治療希望:顎関節が痛い。見た目も気になる。

  • 治療内容:矯正治療+インプラント治療+セラミック治療

  • 治療期間:約3年(矯正治療期間 約2年半)

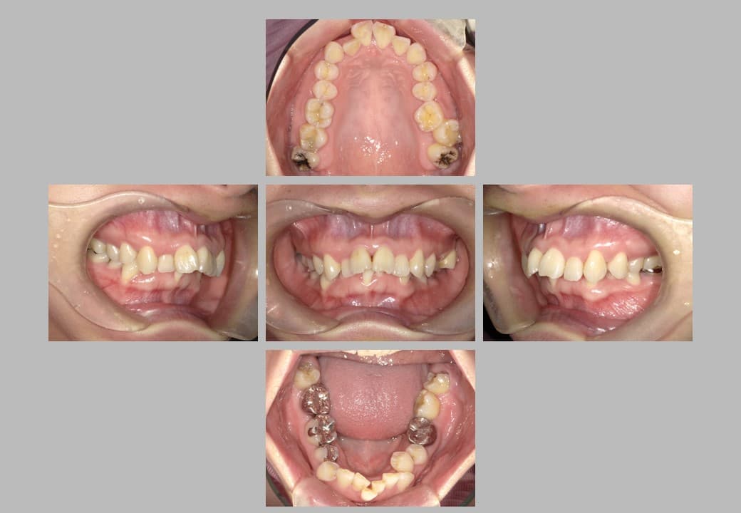
  • 治療前

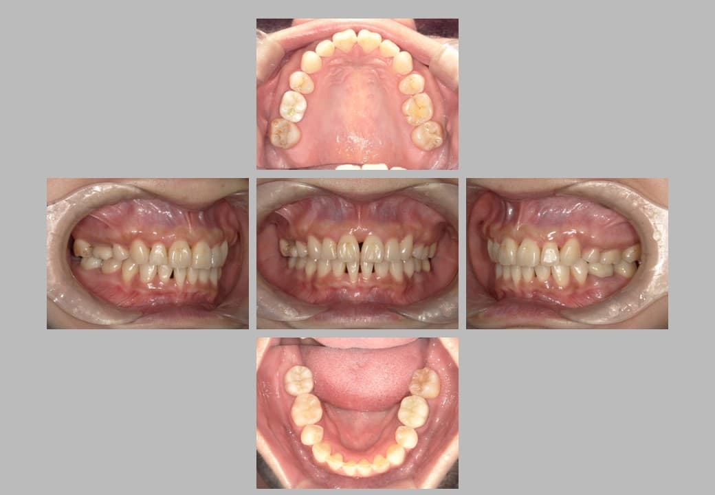
  • 治療後

矯正治療+インプラント治療+セラミック治療の実施事例です。

カテゴリ:治療例