外科矯正治療・インプラント治療・セラミック治療の症例紹介

  • 投稿日2026年01月28日
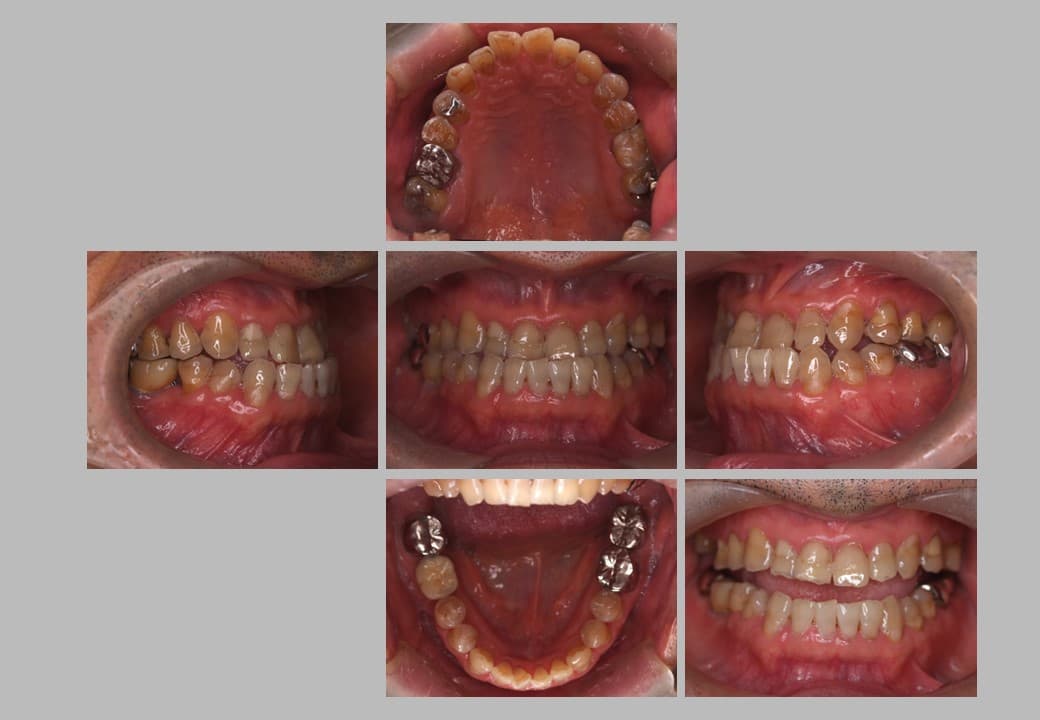
  • 治療希望:右上の歯と歯茎が痛いどこで噛んでいいのか分からない

  • 治療内容:外科矯正治療+インプラント治療+セラミック治療

  • 治療期間:約4年(矯正治療期間 約3年)

  • 治療前

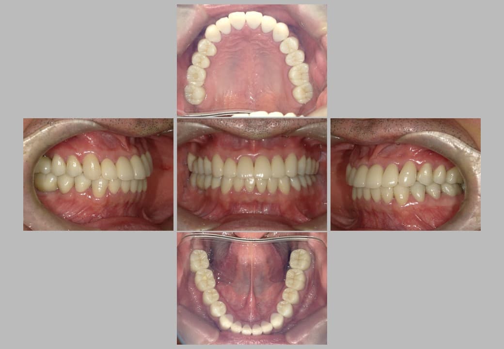
  • 治療後

外科矯正治療+インプラント治療+セラミック治療の実施事例です。

カテゴリ:治療例