矯正治療・インプラント治療・セラミック治療・金属床(部分入れ歯)の症例紹介
- 投稿日2026年01月28日
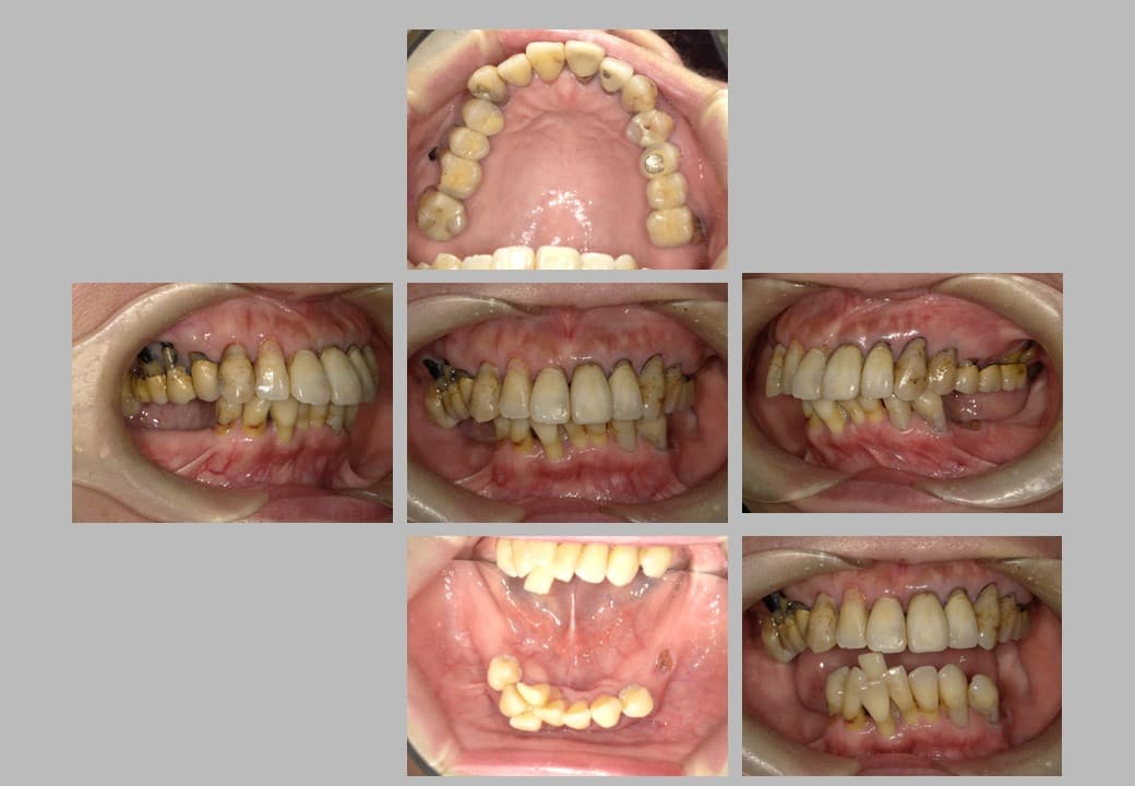
治療希望:他院でいれた入れ歯が合わなくて使っていないので、しっかり噛めるようになりたい
治療内容:矯正治療+インプラント治療+セラミック治療+金属床(部分入れ歯)
治療期間:約2年(矯正治療期間 約1年)
矯正治療+インプラント治療+セラミック治療+金属床(部分入れ歯)の実施事例です。
カテゴリ:治療例
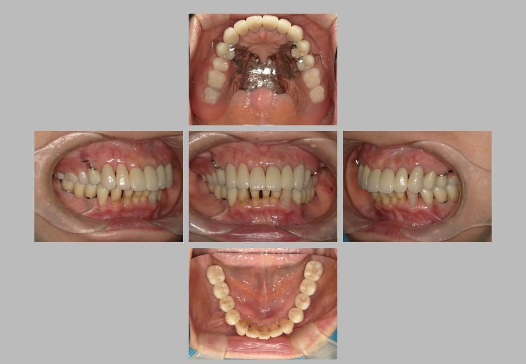
治療希望:他院でいれた入れ歯が合わなくて使っていないので、しっかり噛めるようになりたい
治療内容:矯正治療+インプラント治療+セラミック治療+金属床(部分入れ歯)
治療期間:約2年(矯正治療期間 約1年)
矯正治療+インプラント治療+セラミック治療+金属床(部分入れ歯)の実施事例です。