インプラント治療・セラミック治療・金属床コーヌス義歯(部分入れ歯)の症例紹介
- 投稿日2026年01月28日
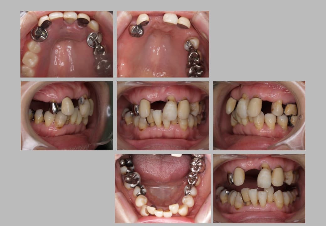
治療希望:他院でいれた入れ歯の具合が良くない。歯を白くしたい。歯並びも気になる。しっかり噛めるようになりたい。
治療内容:インプラント治療+セラミック治療+金属床コーヌス義歯(部分入れ歯)
治療期間:約8ヶ月
インプラント治療+セラミック治療+金属床コーヌス義歯(部分入れ歯)の実施事例です。
カテゴリ:治療例
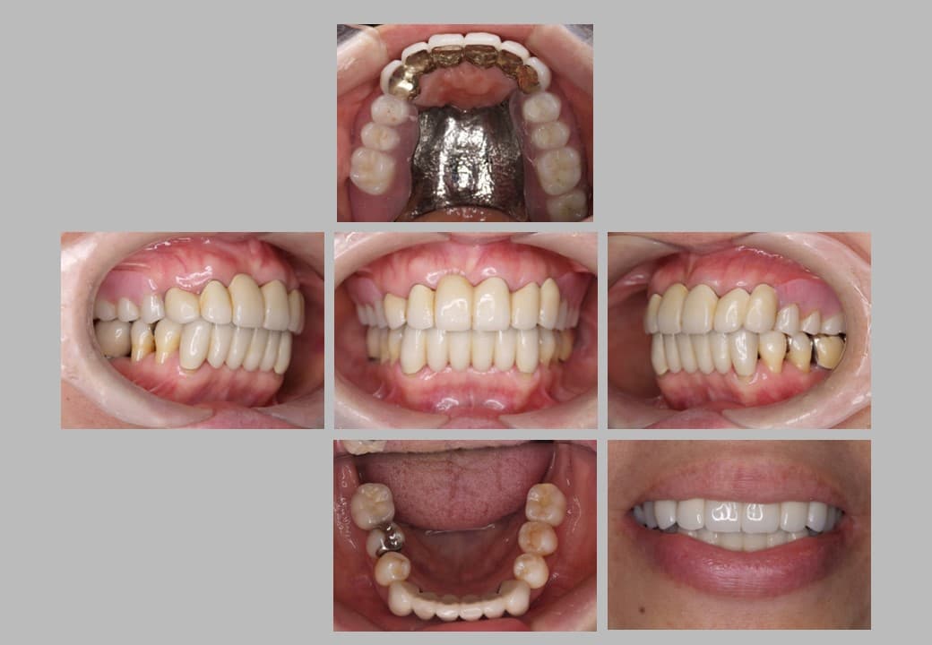
治療希望:他院でいれた入れ歯の具合が良くない。歯を白くしたい。歯並びも気になる。しっかり噛めるようになりたい。
治療内容:インプラント治療+セラミック治療+金属床コーヌス義歯(部分入れ歯)
治療期間:約8ヶ月
インプラント治療+セラミック治療+金属床コーヌス義歯(部分入れ歯)の実施事例です。